75 yrs old male came to casuality with c/o SOB on exertion and cough

 GENERAL MEDICINE CASE




"This is an online E log book to discuss our patient's de-identified health data shared after taking his/her/guardian's signed informed consent. Here we discuss our individual patient's problems through series of inputs from available global online community of experts with an aim to solve those patients clinical problems with collective current best evidence based inputs. This e-log book also reflects my patient centered online learning portfolio and your valuable inputs on comment box is welcome


75yrs old Male came to casuality with c/o SOB On exertion since 1 month, aggravating since 7 days.

C/o cough with expectoration since 1 month

C/o pedal edema since 7 days

HOPI:

Pt was apparently asymptomatic 1 month back then he developed SOB on exertion( Grade 3) associated with cough with expectoration since 1 month.Pedal edema since 7 days, gradually progressive.

No h/o decreased urine output, abdominal distention

No h/o fever , vomitings, diarrhoea.


Past History:

Not k/c/o DM,HTN,TB,Asthma,CVA,CAD,Epilepsy

Personal history: Beedi smoker since 50 years 3-4 chuttas/day stopped 1 month ago.

Occasional alcoholic -Stopped 2-3 years back.


O/E:

No pallor/Icterus/cyanosis/clubbing/Generalized lymphadenopathy/pedal edema 

Temp-afebrile

PR- 100bpm

RR-24/min

BP-130/90 mmhg

Spo2- 90%at RA

GRBS-134 mg/dl

CVS- S1 S2 +,No murmurs

RS- bae+,B/L infra axillary and infra scapular crepts present on admission.

P/A- soft, non tender 

CNS- No FND.









Investigations:-

USG:-


2d echo:-


https://youtu.be/kNl_hZhjp4E.



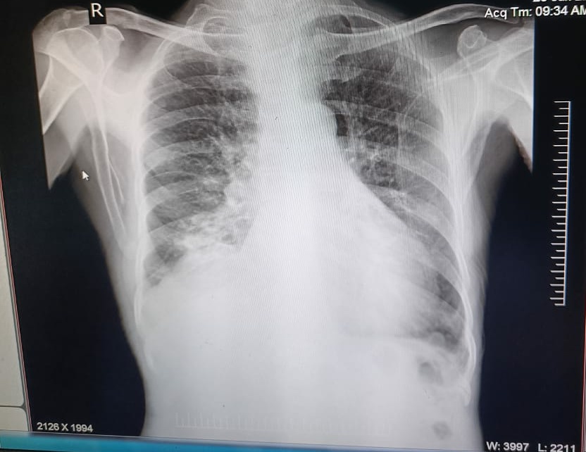
X-ray


ECG:-









Provisional diagnosis: Acute on chronic COPD with Right heart failure( Corpulmonale) with Rt lower lobe pneumonia.

Treatment:-

Inj lasix 40 mg /IV/BD ( if SBP>110/80)

Inj Augmentin 1g/IV/BD

Tab Azithromycin 500mg PO/OD.

Inj optineuron 1 amp in 100ml NS/ IV/OD.

Inj thiamine 1 amp in 100ml NS/IV/BD.

Nebulisation with Duolin, budecort,mixomist-1 respule 6th hourly.

Tab tamiflu 75mg po/bd.

Tab pan 40 mg po/od 

Fluids restriction (<1.5L/day) and salt restriction (<4g/day).

Daily weight monitoring.







Comments

Popular posts from this blog

55 yrs old male patient with came with cheif complaints of abdominal pain since 5 days and chest pain since 2 days

75 yrs old female patient came with complaints of chest pain associated with shortness of breath and pedal edema